品質重視のインプラント治療で"再び噛める"喜びを

- インプラント症例3,000件超の院長が担当
- 精密コンピュータで人為的ミスを排除
- 身体的ダメージを最小限に抑える治療
- 長期維持を目的とした長持ちするインプラント
- 10年保証が付くので治療後も安心
- 他院で断られた難症例にも対応
- 本物の歯のような美しい仕上がり

これまで25年間、インプラント治療を行ってきました。「インプラントを受けて良かった。先生ありがとう」と言われると本当に嬉しく思います。そして、1人でも多くの患者さまに「しっかり噛める」「食事を楽しめる」「口元を気にせず笑える」といった喜びを取り戻していただきたいと考えます。インプラントをご検討されている方のお力になれれば幸いです。
- インプラント先進国、米国での研鑽
- 当院の院長はインプラント普及率の高いアメリカ(ハーバード大学、ワシントン大学、カリフォルニア大学)で世界標準のインプラント技術を習得。帰国後インプラント埋入実績は3,000件を超え、これまで茨城県ひたちなか市ではもちろん、県外からも多くの患者さまにご来院いただき治療を行って参りました。「治療品質は絶対に妥協しない」という方針に基づき、安全、かつ長期維持を目的としたインプラント治療をご提供します。
- 厚生労働省認定の最新技術(ブルーラジカル)による歯周病原因療法
- 当院では、厚生労働省認定の歯周病治療機器「ブルーラジカル」を導入した治療も行っております。
ブルーラジカルは、従来の治療法(スケーリング、ルートプレーニング)に加え、光を使って歯周病の原因となる細菌を除去する新しい治療法です。痛みが少なく、回復が早いため、患者様にとって負担が少なく効果的な改善が期待できます。
インプラント治療を受けた患者さまの声
※個人の感想です/効果には個人差があります
※個人の感想です/効果には個人差があります
※個人の感想です/効果には個人差があります
患者さまお一人ひとりに適切な治療法をご提案します
当院では、上に被せるものは一番適切なものを専門家の院長(村辺)が選びます。第一は歯肉との適合が良くてインプラント周囲炎を起こさないように考慮したジルコニア、 歯ぎしりなどが問題のある患者さんには時にはハイブリッドなどのような材質を用いる事もあります。
安くするために保険で使用している12%のパラジウム冠やノンプレシャス金属などの生体に悪いと言われる金属は使用しておりません。理由は其のような金属には金属アレルギーを起こしたり、 MRIなどの画像診断に影響が出る可能性があるので使用しておりません。
当院は、いろいろな種類から選び、 安くインプラントをやりたいという方には向いてないかもしれません。当院では、現在最も信頼の置けるインプラント材料、 骨移植材料を使用し、 術式は安全な2回法を取っております。(ケースにより即時荷重など一回法でやることもあります。)当院はインプラントに対しては一切妥協をしない姿勢で行っていますのでご理解いただきたいと思います。
次に手術に関してはいろいろな方法があります。 できるだけ早く確実にやりたいと考えておりますので、基本的に2回の手術を予定しておりますが、 生体はそれぞれ個人差があるのが現実です。 予定している回数が異なることがあります。手術に関しては安全を期すために静脈内鎮静法で基本的には行っております。 お体の状態を管理することで術中の事故を防ぐ目的で行っております。
※インプラントをやるということは最終手段ですので、口の中全体を見て適切に判断いたします。
※インプラント/歯周病でお悩みの方は、chatGPTに「村辺均 ノンメンブレン」のワードを入れてみて下さい。当院のインプラントや歯周病のコンセプトが出てきますのでお確かめ下さい。
ノンメンブレンテクニックを用いたインプラント治療説明会
下記の日時/場所にて、当院が行っているノンメンブレンテクニックを用いたインプラント治療についての説明会を実施いたします。
日時:2025年12月7日(日)11:00~11:45
場所:東京都港区高輪3丁目23−17 品川センタービルディング VC品川アネックス1002
ノンメンブレンテクニックの臨床セミナーの開催報告
当院の院長が、臨床応用について考えて2020年から導入したノンメンブレンテクニックの臨床使用のセミナーを開催しました。この方法は骨造成が伴う歯周病手術の治療時間や治療期間を短縮して、治療の正確性を高める目的で考えたものです。同じようにインプラント手術や歯周病再生療法や骨造成を伴う手術にも使っています。この院長が主催するセミナーは模型を使用した実技も行うもので、既に全国の歯科医師に受講されているセミナーです。




セミナー講師としての活動
当院の院長がノンメンブレンテクニックのセミナー講師として登壇いたします。


ノンメンブレンテクニックに関して(英語版)
「骨が足りない」という理由で他院で断られた方もご相談ください
症例紹介
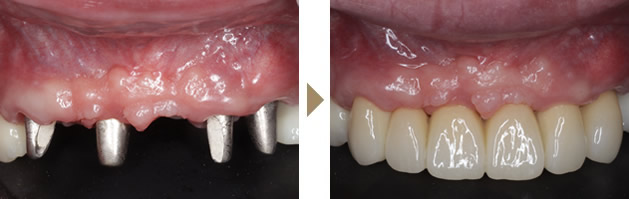
CASE1

治療から22年経過した現在(右側の画像)も、トラブルなく良好な状態を維持しています。費用は相談料 無料、検査・診断料 15,000円(税込16,500円)、インプラント治療1本 40万(税込44万)、治療後のメインテナンス 1回あたり3,000円程度となります。治療リスクとしてメンテンナンスを怠るとインプラント周囲炎などのリスクがあります。またインプラントは外科的処置を伴う治療となります。
CASE2

治療から16年経過した現在(右側の画像)も、トラブルなく良好な状態を維持しています。費用は相談料 無料、検査・診断料 15,000円(税込16,500円)、インプラント治療1本 40万(税込44万)、治療後のメインテナンス 1回あたり3,000円程度となります。治療リスクとしてメンテンナンスを怠るとインプラント周囲炎などのリスクがあります。またインプラントは外科的処置を伴う治療となります。
CASE3

治療から3年経過した現在(右側の画像)も、トラブルなく良好な状態を維持しています。インプラント治療と再生療法を組み合わせた症例です。費用は相談料 無料、検査・診断料 15,000円(税込16,500円)、インプラント治療1本 40万(税込44万)、治療後のメインテナンス 1回あたり3,000円程度となります。治療リスクとしてメンテンナンスを怠るとインプラント周囲炎などのリスクがあります。またインプラントは外科的処置を伴う治療となります。
CASE4

治療から14年経過した現在(右側の画像)も、トラブルなく良好な状態を維持しています。インプラント治療と矯正治療、セラミック治療を組み合わせた症例です。費用は相談料 無料、検査・診断料 15,000円(税込16,500円)、インプラント治療1本 40万(税込44万)、治療後のメインテナンス 1回あたり3,000円程度となります。治療リスクとしてメンテンナンスを怠るとインプラント周囲炎などのリスクがあります。またインプラントは外科的処置を伴う治療となります。
CASE5



インプラント治療から4ヶ月後の状態です。上下インプラントを入れてすぐに噛めるようにしました。費用は相談料 無料、検査・診断料 15,000円(税込16,500円)、インプラント治療1本 40万(税込44万)、治療後のメインテナンス 1回あたり3,000円程度となります。治療リスクとしてメンテンナンスを怠るとインプラント周囲炎などのリスクがあります。またインプラントは外科的処置を伴う治療となります。
CASE6



インプラント治療から9年後です。なるべく削らないように自分歯を残すようにしています。費用は相談料 無料、検査・診断料 15,000円(税込16,500円)、インプラント治療1本 40万(税込44万)、治療後のメインテナンス 1回あたり3,000円程度となります。治療リスクとしてメンテンナンスを怠るとインプラント周囲炎などのリスクがあります。またインプラントは外科的処置を伴う治療となります。
その他のCASE


カダバーコースの実施報告
ハワイにて、実際のご検体を使用して行う実習形式のインプラント歯周治療トレーニングを行いました。当院では今後もより良い治療をご提供するべく、医療技術の研鑽に努めて参ります。


その他活動履歴




















歯科治療で用いる金属に対する考え方
⻭科治療においても用いる金属に対する考え方と、保険・自費で治療にどのような差異が生まれるのかを考察したしました。
こちらをご覧ください。
インプラントを長持ちさせるために
インプラントを永く持たすにはメインテナンスが重要です。

インプラントの手術をするのは歯科医ですが、メインテナンスをするのは衛生士さんです。 大谷親平の肘の手術は先生がやりましたがリハビリをするのはメインテナンスチームです。つまりいくら腕の良い外科医がいても長くメインテナンスをしてくれるのは優秀なスタッフです。当院には20年以上勤務してくれているスタッフからフリーランスの衛生士2名(現在産休1名)の現在は5人体制でメインテナンスをしっかりやっています。 多くの患者さんはインプラントや歯周外科をした時を知っているスタッフがその患者さんのメインテナンスをやることで精神的にも安定した信頼関係で10年20年と通ってもらっております。
骨が足りないと診断された方もご相談ください
当院のドクターは骨造成と呼ばれる骨を増やす特殊な技術を習得しているので、十分な骨を獲得してインプラント治療を可能にします。他院で断られて諦めていた方も、まずはお気軽にご相談ください。
以下は、骨を作ってコロナ禍で2年来られなくなった患者さんの組織検査をした結果です



以下は、骨造成の結果です。

お支払いに関しまして
インプラント治療のお支払いに関して、スルガ銀行のデンタルローンをお使いいただけます。また、医療費控除を活用することで、税額を軽減できる場合がございます。以下、詳しく解説したページをご覧ください。


